SELARL LE CABINET DES SOURIRES
Orthodontistes à Janzé dans le Grand Sud de Rennes
SELARL LE CABINET DES SOURIRES
Orthodontistes à Janzé dans le Grand Sud de Rennes

3 boulevard Gambetta
35150 JANZE

Blog - Page 4

Carriere motion classe ii

Carriere motion classe ii

L'hygiène en orthodontie

L'hygiène en orthodontie

Les concentrations en fluor des eaux minérales

Les concentrations en fluor des eaux minérales

La quantité de fluor présente dans les eaux minérales est très variable et il est important pour vous de bien la connaître.

La pose de vernis fluoré pour les enfants et les jeunes adultes de 3 à 24 ans

La pose de vernis fluoré pour les enfants et les jeunes adultes de 3 à 24 ans

Le fluor, par voie générale ou en application locale, joue un rôle essentiel dans la protection des dents de l’enfant.

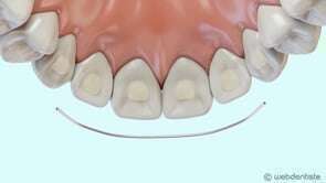
Fil de contention

Fil de contention

Traitement multi-attaches

Traitement multi-attaches

Contention de Hawley

Contention de Hawley

Prévention : scellement de sillons chez l'enfant

Prévention : scellement de sillons chez l'enfant

Orthodontie : idées reçues, idées revues

Orthodontie : idées reçues, idées revues

Les aphtes

Les aphtes

Petites lésions apparaissant sur la langue ou la gencive, les aphtes sont généralement sans gravité. Quelle est leur origine et comment soulager la gêne et la douleur ?

L’éruption des dents de lait et des dents définitives

L’éruption des dents de lait et des dents définitives

L’éruption des dents est variable d’un enfant à l’autre. La première dent de lait sort vers 6 mois et la dernière tombe vers 13 ans. Un suivi régulier permettra de surveiller leur bon développement et l’apparition des dents définitives.

La salive : un protecteur naturel de notre bouche

La salive : un protecteur naturel de notre bouche

La salive est notre meilleure alliée contre la carie dentaire et l’infection des muqueuses orales.

Affichage des articles 37-48 sur 117

Création par Webdentiste

Connexion